For quotations, please use our online quotation form, and you may also contact us by
service@kendallscientific.com
+1-888.733.6849 (Toll-free)
+1-617.299.7367 (Int’l))
+1-888.733.6849
Our customer service representatives are available 24 hours, Monday through Friday to assist you.| Reactivity | Human Mouse Rat |
| Tested applications | WB IHC IF |
| Recommended Dilution | WB 1:500 - 1:2000 IHC 1:50 - 1:100 IF 1:50 - 1:100 |
| Calculated MW | 57kDa |
| Observed MW | Refer to figures |
| Immunogen | Recombinant protein of human XIAP |
| Storage Buffer | Store at -20℃. Avoid freeze / thaw cycles. Buffer: PBS with 0.02% sodium azide, 50% glycerol, pH7.3. |
| Concentration | bhl |
| Synonym | API3; ILP1; MIHA; XLP2; BIRC4; IAP-3; hIAP3; hIAP-3; |

Western blot analysis of extracts of various cell lines, using XIAP antibody.

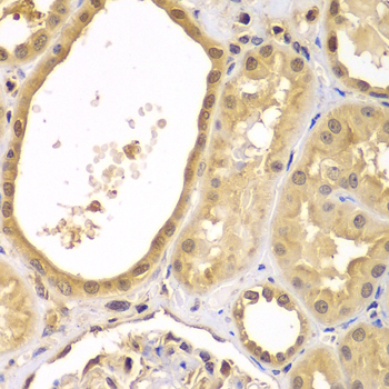
Immunohistochemistry of paraffin-embedded human kidney using XIAP antibody at dilution of 1:100 (40x lens).

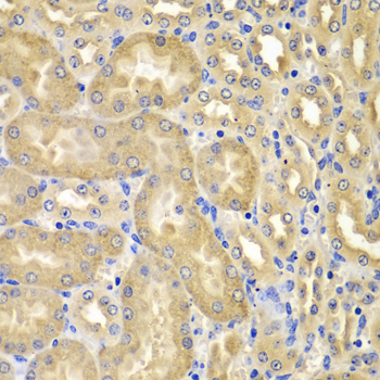
Immunohistochemistry of paraffin-embedded mouse kidney using XIAP antibody at dilution of 1:100 (40x lens).

Immunohistochemistry of paraffin-embedded human lung cancer using XIAP antibody at dilution of 1:100 (40x lens).

Immunohistochemistry of paraffin-embedded human esophagus using XIAP antibody at dilution of 1:100 (40x lens).

Immunofluorescence analysis of HeLa cell using XIAP antibody. Blue: DAPI for nuclear staining.
This gene encodes a protein that belongs to a family of apoptotic suppressor proteins. Members of this family share a conserved motif termed, baculovirus IAP repeat, which is necessary for their anti-apoptotic function. This protein functions through binding to tumor necrosis factor receptor-associated factors TRAF1 and TRAF2 and inhibits apoptosis induced by menadione, a potent inducer of free radicals, and interleukin 1-beta converting enzyme. This protein also inhibits at least two members of the caspase family of cell-death proteases, caspase-3 and caspase-7. Mutations in this gene are the cause of X-linked lymphoproliferative syndrome. Alternate splicing results in multiple transcript variants. Pseudogenes of this gene are found on chromosomes 2 and 11.
N/A