TAPBP-Monoclonal Antibodies

our services
our products
Quotations & Ordering:

For quotations, please use our online quotation form, and you may also contact us by

service@kendallscientific.com

Phone:

+1-888.733.6849 (Toll-free)
+1-617.299.7367 (Int’l))

Fax:

+1-888.733.6849

Our customer service representatives are available 24 hours, Monday through Friday to assist you.

TAPBP

Qty


Total
$220
Catalog #
A1968
Antibody Type
Polyclonal Antibody
Gene ID
6892
Swiss Prot
O15533
Size
Species
Rabbit
Isotype
IgG
Purity
Affinity purification
Additional Information
ReactivityHuman Mouse
Tested applicationsWB IHC IF
Recommended DilutionWB 1:500 - 1:2000 IHC 1:50 - 1:200 IF 1:10 - 1:100
Calculated MW47kDa
Observed MWRefer to Figures
ImmunogenRecombinant protein of human TAPBP
Storage BufferStore at -20℃. Avoid freeze / thaw cycles. Buffer: PBS with 0.02% sodium azide, 50% glycerol, pH7.3.
SynonymTPN; TAPA; TPSN; NGS17;
Images
  • A1968: image 1

    Western blot analysis of extracts of various cell lines, using TAPBP antibody.

  • A1968: image 2

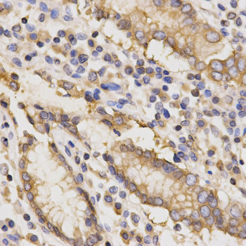
    Immunohistochemistry of paraffin-embedded human stomach using TAPBP antibody at dilution of 1:200 (x400 lens).

  • A1968: image 3

    Immunofluorescence analysis of HeLa cell using TAPBP antibody. Blue: DAPI for nuclear staining.

Background

This gene encodes a transmembrane glycoprotein which mediates interaction between newly assembled major histocompatibility complex (MHC) class I molecules and the transporter associated with antigen processing (TAP), which is required for the transport of antigenic peptides across the endoplasmic reticulum membrane. This interaction is essential for optimal peptide loading on the MHC class I molecule. Up to four complexes of MHC class I and this protein may be bound to a single TAP molecule. This protein contains a C-terminal double-lysine motif (KKKAE) known to maintain membrane proteins in the endoplasmic reticulum. This gene lies within the major histocompatibility complex on chromosome 6. Alternative splicing results in three transcript variants encoding different isoforms.

Protocol

N/A

MSDS
Reviews
Kendall Scientific welcomes feedback from its customers.

If you have used an our product and would like to share how it has performed, please click on the "Submit Review" button and provide the requested information.

If you have any additional inquiries please email technical services at info@kendallscientific.com.

Thank you for your support.

promotions

Image

Custom Monoclonal Antibody
MassAb Technologies
Image
Free Trial Custom Polyclonal Antibody
You will receive free purified antibodies for validation
Image
Custom Peptides Synthesis

Start from $40/each

new technologies

Image
Optimized for enhanced
expression levels
XPromoter 2.0
Image
E.coli/insect cells/293 & CHO

3 in 1 expression system
Image
MassAb Technologies

Cover All Epitopes