For quotations, please use our online quotation form, and you may also contact us by
service@kendallscientific.com
+1-888.733.6849 (Toll-free)
+1-617.299.7367 (Int’l))
+1-888.733.6849
Our customer service representatives are available 24 hours, Monday through Friday to assist you.| Reactivity | Human Mouse Rat |
| Tested applications | WB IHC IF |
| Recommended Dilution | WB 1:500 - 1:2000 IHC 1:50 - 1:200 IF 1:50 - 1:200 |
| Calculated MW | 70kDa |
| Observed MW | Refer to figures |
| Immunogen | Recombinant protein of human SYNCRIP |
| Storage Buffer | Store at -20℃. Avoid freeze / thaw cycles. Buffer: PBS with 0.02% sodium azide, 50% glycerol, pH7.3. |
| Concentration | j |
| Synonym | PP68; NSAP1; GRYRBP; HNRNPQ; HNRPQ1; GRY-RBP; hnRNP-Q; |

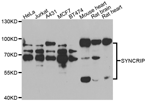
Western blot analysis of extracts of various cell lines, using SYNCRIP antibody.

Immunohistochemistry of paraffin-embedded human liver cancer using SYNCRIP antibody at dilution of 1:100 (x40 lens).

Immunohistochemistry of paraffin-embedded mouse kidney using SYNCRIP antibody at dilution of 1:100 (x40 lens).

Immunohistochemistry of paraffin-embedded human liver cancer using SYNCRIP antibody at dilution of 1:100 (x40 lens).

Immunohistochemistry of paraffin-embedded mouse Intestine using SYNCRIP antibody at dilution of 1:100 (x40 lens).

Immunohistochemistry of paraffin-embedded mouse kidney using SYNCRIP antibody at dilution of 1:100 (x40 lens).

Immunofluorescence analysis of MCF7 cell using SYNCRIP antibody. Blue: DAPI for nuclear staining.
This gene encodes a member of the cellular heterogeneous nuclear ribonucleoprotein (hnRNP) family. hnRNPs are RNA binding proteins that complex with heterogeneous nuclear RNA (hnRNA) and regulate alternative splicing, polyadenylation, and other aspects of mRNA metabolism and transport. The encoded protein plays a role in multiple aspects of mRNA maturation and is associated with several multiprotein complexes including the apoB RNA editing-complex and survival of motor neurons (SMN) complex. Alternatively spliced transcript variants encoding multiple isoforms have been observed for this gene, and a pseudogene of this gene is located on the short arm of chromosome 20.
N/A