For quotations, please use our online quotation form, and you may also contact us by
service@kendallscientific.com
+1-888.733.6849 (Toll-free)
+1-617.299.7367 (Int’l))
+1-888.733.6849
Our customer service representatives are available 24 hours, Monday through Friday to assist you.| Reactivity | Human Mouse Rat |
| Tested applications | WB IHC IF |
| Recommended Dilution | WB 1:500 - 1:2000 IHC 1:50 - 1:200 IF 1:50 - 1:100 |
| Calculated MW | 84kDa |
| Observed MW | Refer to figures |
| Immunogen | Recombinant protein of human SOX5 |
| Storage Buffer | Store at -20℃. Avoid freeze / thaw cycles. Buffer: PBS with 0.02% sodium azide, 50% glycerol, pH7.3. |
| Synonym | L-SOX5; L-SOX5B; L-SOX5F; |

Western blot analysis of extracts of various cell lines, using SOX5 antibody.

Immunohistochemistry of paraffin-embedded rat kidney using SOX5 antibody at dilution of 1:100 (x400 lens).

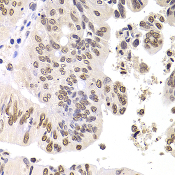
Immunohistochemistry of paraffin-embedded human colon carcinoma using SOX5 antibody at dilution of 1:100 (x400 lens).

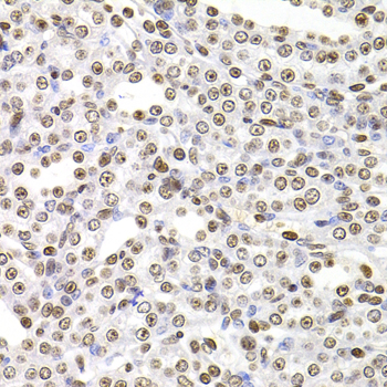
Immunohistochemistry of paraffin-embedded human kidney cancer using SOX5 antibody at dilution of 1:100 (x400 lens).

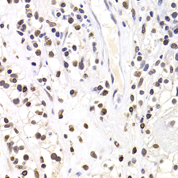
Immunohistochemistry of paraffin-embedded human stomach using SOX5 antibody at dilution of 1:100 (x400 lens).

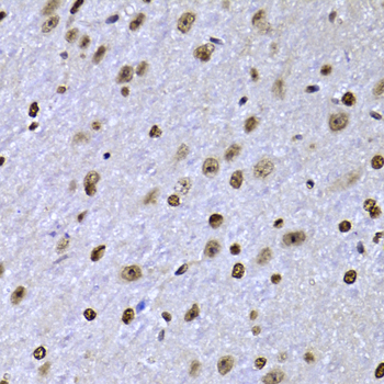
Immunohistochemistry of paraffin-embedded mouse brain using SOX5 antibody at dilution of 1:100 (x400 lens).

Immunofluorescence analysis of U20S cell using SOX5 antibody. Blue: DAPI for nuclear staining.
This gene encodes a member of the SOX (SRY-related HMG-box) family of transcription factors involved in the regulation of embryonic development and in the determination of the cell fate. The encoded protein may act as a transcriptional regulator after forming a protein complex with other proteins. The encoded protein may play a role in chondrogenesis. A pseudogene of this gene is located on chromosome 8. Multiple transcript variants encoding distinct isoforms have been identified for this gene.
N/A