For quotations, please use our online quotation form, and you may also contact us by
service@kendallscientific.com
+1-888.733.6849 (Toll-free)
+1-617.299.7367 (Int’l))
+1-888.733.6849
Our customer service representatives are available 24 hours, Monday through Friday to assist you.| Reactivity | Human Mouse Rat |
| Tested applications | WB IHC IF |
| Recommended Dilution | WB 1:500 - 1:2000 IHC 1:50 - 1:200 IF 1:50 - 1:200 |
| Calculated MW | 52kDa |
| Observed MW | Refer to figures |
| Immunogen | Recombinant protein of human SMAD9 |
| Storage Buffer | Store at -20℃. Avoid freeze / thaw cycles. Buffer: PBS with 0.02% sodium azide, 50% glycerol, pH7.3. |
| Concentration | r |
| Synonym | PPH2; MADH6; MADH9; SMAD8; SMAD8A; SMAD8B; |

Western blot analysis of extracts of various cell lines, using SMAD9 antibody.

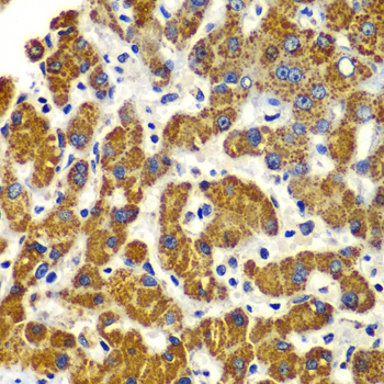
Immunohistochemistry of paraffin-embedded human liver injury using SMAD9 antibody at dilution of 1:100 (x400 lens).

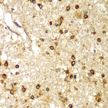
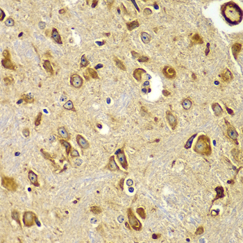
Immunohistochemistry of paraffin-embedded human brain cancer using SMAD9 antibody at dilution of 1:100 (x400 lens).

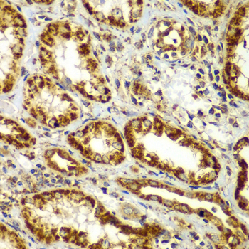
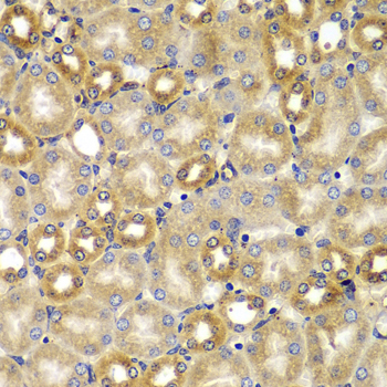
Immunohistochemistry of paraffin-embedded human kidney using SMAD9 antibody at dilution of 1:100 (x400 lens).

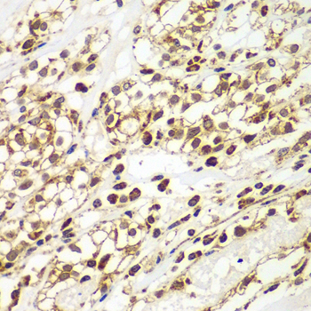
Immunohistochemistry of paraffin-embedded human kidney cancer using SMAD9 antibody at dilution of 1:100 (x400 lens).

Immunohistochemistry of paraffin-embedded mouse brain using SMAD9 antibody at dilution of 1:100 (x400 lens).

Immunohistochemistry of paraffin-embedded mouse kidney using SMAD9 antibody at dilution of 1:100 (x400 lens).

Immunofluorescence analysis of A549 cell using SMAD9 antibody. Blue: DAPI for nuclear staining.

Immunofluorescence analysis of A549 cell using SMAD9 antibody. Blue: DAPI for nuclear staining.
The protein encoded by this gene is a member of the SMAD family, which transduces signals from TGF-beta family members. The encoded protein is activated by bone morphogenetic proteins and interacts with SMAD4. Two transcript variants encoding different isoforms have been found for this gene.
N/A