RPS4X-Polyclonal Antibodies

our services
our products
Quotations & Ordering:

For quotations, please use our online quotation form, and you may also contact us by

service@kendallscientific.com

Phone:

+1-888.733.6849 (Toll-free)
+1-617.299.7367 (Int’l))

Fax:

+1-888.733.6849

Our customer service representatives are available 24 hours, Monday through Friday to assist you.

RPS4X

Qty


Total
$220
Catalog #
A6730
Antibody Type
Polyclonal Antibody
Gene ID
6191
Swiss Prot
P62701
Size
Species
Rabbit
Isotype
IgG
Purity
Affinity purification
Additional Information
ReactivityHuman Mouse Rat
Tested applicationsWB IHC
Recommended DilutionWB 1:500 - 1:2000 IHC 1:50 - 1:200
Calculated MW29kDa
Observed MWRefer to figures
ImmunogenRecombinant protein of human RPS4X
Storage BufferStore at -20℃. Avoid freeze / thaw cycles. Buffer: PBS with 0.02% sodium azide, 50% glycerol, pH7.3.
Concentrationj
SynonymS4; CCG2; RPS4; SCAR; SCR10; DXS306;
Images
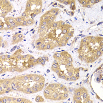
  • A6730: image 1

    Western blot analysis of extracts of various cell lines, using RPS4X antibody.

  • A6730: image 2

    Immunohistochemistry of paraffin-embedded human kidney using RPS4X antibody at dilution of 1:100 (x400 lens).

Background

Cytoplasmic ribosomes, organelles that catalyze protein synthesis, consist of a small 40S subunit and a large 60S subunit. Together these subunits are composed of 4 RNA species and approximately 80 structurally distinct proteins. This gene encodes ribosomal protein S4, a component of the 40S subunit. Ribosomal protein S4 is the only ribosomal protein known to be encoded by more than one gene, namely this gene and ribosomal protein S4, Y-linked (RPS4Y). The 2 isoforms encoded by these genes are not identical, but are functionally equivalent. Ribosomal protein S4 belongs to the S4E family of ribosomal proteins. This gene is not subject to X-inactivation. It has been suggested that haploinsufficiency of the ribosomal protein S4 genes plays a role in Turner syndrome; however, this hypothesis is controversial. As is typical for genes encoding ribosomal proteins, there are multiple processed pseudogenes of this gene dispersed through the genome.

Protocol

N/A

MSDS
Reviews
Kendall Scientific welcomes feedback from its customers.

If you have used an our product and would like to share how it has performed, please click on the "Submit Review" button and provide the requested information.

If you have any additional inquiries please email technical services at info@kendallscientific.com.

Thank you for your support.

promotions

Image

Custom Monoclonal Antibody
MassAb Technologies
Image
Free Trial Custom Polyclonal Antibody
You will receive free purified antibodies for validation
Image
Custom Peptides Synthesis

Start from $40/each

new technologies

Image
Optimized for enhanced
expression levels
XPromoter 2.0
Image
E.coli/insect cells/293 & CHO

3 in 1 expression system
Image
MassAb Technologies

Cover All Epitopes