For quotations, please use our online quotation form, and you may also contact us by
service@kendallscientific.com
+1-888.733.6849 (Toll-free)
+1-617.299.7367 (Int’l))
+1-888.733.6849
Our customer service representatives are available 24 hours, Monday through Friday to assist you.| Reactivity | Human Mouse Rat |
| Tested applications | WB IHC IF |
| Recommended Dilution | WB 1:500 - 1:2000 IHC 1:50 - 1:200 IF 1:50 - 1:200 |
| Calculated MW | 59kDa |
| Observed MW | Refer to figures |
| Immunogen | Recombinant protein of human PUF60 |
| Storage Buffer | Store at -20℃. Avoid freeze / thaw cycles. Buffer: PBS with 0.02% sodium azide, 50% glycerol, pH7.3. |
| Concentration | bj |
| Synonym | FIR; VRJS; RoBPI; SIAHBP1; |

Western blot analysis of extracts of various cell lines, using PUF60 antibody.

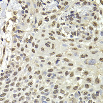
Immunohistochemistry of paraffin-embedded human well-differentiated squamous skin carcinoma using PUF60 antibody at dilution of 1:100 (x400 lens).

Immunofluorescence analysis of HeLa cell using PUF60 antibody. Blue: DAPI for nuclear staining.
This gene encodes a nucleic acid-binding protein that plays a role in a variety of nuclear processes, including pre-mRNA splicing and transcriptional regulation. The encoded protein forms a complex with the far upstream DNA element (FUSE) and FUSE-binding protein at the myelocytomatosis oncogene (MYC) promoter. This complex represses MYC transcription through the core-TFIIH basal transcription factor. Alternatively spliced transcript variants encoding multiple isoforms have been observed for this gene.
N/A