For quotations, please use our online quotation form, and you may also contact us by
service@kendallscientific.com
+1-888.733.6849 (Toll-free)
+1-617.299.7367 (Int’l))
+1-888.733.6849
Our customer service representatives are available 24 hours, Monday through Friday to assist you.| Reactivity | Human Mouse Rat |
| Tested applications | WB IHC IF |
| Recommended Dilution | WB 1:500 - 1:2000 IHC 1:50 - 1:200 IF 1:50 - 1:200 |
| Calculated MW | 46kDa |
| Observed MW | Refer to figures |
| Immunogen | Recombinant protein of human PIP4K2A |
| Storage Buffer | Store at -20℃. Avoid freeze / thaw cycles. Buffer: PBS with 0.02% sodium azide, 50% glycerol, pH7.3. |
| Synonym | PIPK; PI5P4KA; PIP5K2A; PIP5KIIA; PIP5KII-alpha; |

Western blot analysis of extracts of various cell lines, using PIP4K2A antibody.

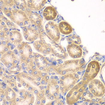
Immunohistochemistry of paraffin-embedded rat kidney using PIP4K2A antibody at dilution of 1:100 (x400 lens).

Immunohistochemistry of paraffin-embedded mouse lung using PIP4K2A antibody at dilution of 1:100 (x400 lens).

Immunofluorescence analysis of A549 cell using PIP4K2A antibody. Blue: DAPI for nuclear staining.

Immunofluorescence analysis of A549 cell using PIP4K2A antibody.
Phosphatidylinositol-5,4-bisphosphate, the precursor to second messengers of the phosphoinositide signal transduction pathways, is thought to be involved in the regulation of secretion, cell proliferation, differentiation, and motility. The protein encoded by this gene is one of a family of enzymes capable of catalyzing the phosphorylation of phosphatidylinositol-5-phosphate on the fourth hydroxyl of the myo-inositol ring to form phosphatidylinositol-5,4-bisphosphate. The amino acid sequence of this enzyme does not show homology to other kinases, but the recombinant protein does exhibit kinase activity. This gene is a member of the phosphatidylinositol-5-phosphate 4-kinase family.
N/A