For quotations, please use our online quotation form, and you may also contact us by
service@kendallscientific.com
+1-888.733.6849 (Toll-free)
+1-617.299.7367 (Int’l))
+1-888.733.6849
Our customer service representatives are available 24 hours, Monday through Friday to assist you.| Reactivity | Human Mouse |
| Tested applications | WB IHC IF |
| Recommended Dilution | WB 1:500 - 1:2000 IHC 1:50 - 1:200 IF 1:50 - 1:100 |
| Calculated MW | 207kDa |
| Observed MW | Refer to figures |
| Immunogen | Recombinant protein of human PHIP |
| Storage Buffer | Store at -20℃. Avoid freeze / thaw cycles. Buffer: PBS with 0.02% sodium azide, 50% glycerol, pH7.3. |
| Concentration | f |
| Synonym | ndrp; BRWD2; WDR11; DCAF14; |

Western blot analysis of extracts of various cells, using PHIP antibody.

Immunofluorescence analysis of MCF7 cell using PHIP antibody.

Immunohistochemistry of paraffin-embedded human well-differentiated squamous skin carcinoma using PHIP antibody at dilution of 1:100 (40x lens).

Immunohistochemistry of paraffin-embedded human kidney cancer using PHIP antibody at dilution of 1:100 (40x lens).

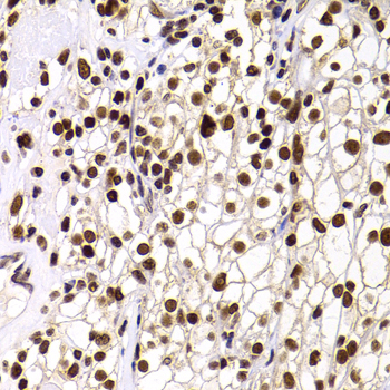
Immunohistochemistry of paraffin-embedded mouse cancer using PHIP antibody at dilution of 1:100 (40x lens).
PHIP binds the pleckstrin homology (PH) domain of insulin receptor substrate-1 (IRS1; MIM 147545), modulates insulin signaling, and plays a role in pancreatic beta cell growth and survival (Farhang-Fallah et al., 2000
N/A