OAZ1-Polyclonal Antibodies

our services
our products
Quotations & Ordering:

For quotations, please use our online quotation form, and you may also contact us by

service@kendallscientific.com

Phone:

+1-888.733.6849 (Toll-free)
+1-617.299.7367 (Int’l))

Fax:

+1-888.733.6849

Our customer service representatives are available 24 hours, Monday through Friday to assist you.

OAZ1

Qty


Total
$220
Catalog #
A7444
Antibody Type
Polyclonal Antibody
Gene ID
4946
Swiss Prot
P54368
Size
Species
Rabbit
Isotype
IgG
Purity
Affinity purification
Additional Information
ReactivityHuman Mouse Rat
Tested applicationsWB IHC
Recommended DilutionWB 1:500 - 1:2000 IHC 1:50 - 1:200
Calculated MW25kDa
Observed MWRefer to figures
ImmunogenRecombinant protein of human OAZ1
Storage BufferStore at -20℃. Avoid freeze / thaw cycles. Buffer: PBS with 0.02% sodium azide, 50% glycerol, pH7.3.
SynonymAZI; OAZ;
Images
  • A7444: image 1

    Western blot analysis of extracts of various cell lines, using OAZ1 antibody.

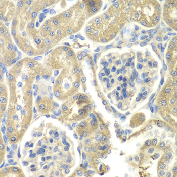
  • A7444: image 2

    Immunohistochemistry of paraffin-embedded rat kidney using OAZ1 antibody at dilution of 1:100 (x400 lens).

Background

The protein encoded by this gene belongs to the ornithine decarboxylase antizyme family, which plays a role in cell growth and proliferation by regulating intracellular polyamine levels. Expression of antizymes requires +1 ribosomal frameshifting, which is enhanced by high levels of polyamines. Antizymes in turn bind to and inhibit ornithine decarboxylase (ODC), the key enzyme in polyamine biosynthesis; thus, completing the auto-regulatory circuit. This gene encodes antizyme 1, the first member of the antizyme family, that has broad tissue distribution, and negatively regulates intracellular polyamine levels by binding to and targeting ODC for degradation, as well as inhibiting polyamine uptake. Antizyme 1 mRNA contains two potential in-frame AUGs; and studies in rat suggest that alternative use of the two translation initiation sites results in N-terminally distinct protein isoforms with different subcellular localization. Alternatively spliced transcript variants have also been noted for this gene.

Protocol

N/A

MSDS
Reviews
Kendall Scientific welcomes feedback from its customers.

If you have used an our product and would like to share how it has performed, please click on the "Submit Review" button and provide the requested information.

If you have any additional inquiries please email technical services at info@kendallscientific.com.

Thank you for your support.

promotions

Image

Custom Monoclonal Antibody
MassAb Technologies
Image
Free Trial Custom Polyclonal Antibody
You will receive free purified antibodies for validation
Image
Custom Peptides Synthesis

Start from $40/each

new technologies

Image
Optimized for enhanced
expression levels
XPromoter 2.0
Image
E.coli/insect cells/293 & CHO

3 in 1 expression system
Image
MassAb Technologies

Cover All Epitopes