NDUFV2-Polyclonal Antibodies

our services
our products
Quotations & Ordering:

For quotations, please use our online quotation form, and you may also contact us by

service@kendallscientific.com

Phone:

+1-888.733.6849 (Toll-free)
+1-617.299.7367 (Int’l))

Fax:

+1-888.733.6849

Our customer service representatives are available 24 hours, Monday through Friday to assist you.

NDUFV2

Qty


Total
$220
Catalog #
A7442
Antibody Type
Polyclonal Antibody
Gene ID
4729
Swiss Prot
P19404
Size
Species
Rabbit
Isotype
IgG
Purity
Affinity purification
Additional Information
ReactivityHuman Mouse Rat
Tested applicationsWB IHC
Recommended DilutionWB 1:500 - 1:2000 IHC 1:50 - 1:200
Calculated MW27kDa
Observed MWRefer to figures
ImmunogenRecombinant protein of human NDUFV2
Storage BufferStore at -20℃. Avoid freeze / thaw cycles. Buffer: PBS with 0.02% sodium azide, 50% glycerol, pH7.3.
SynonymCI-24k;
Images
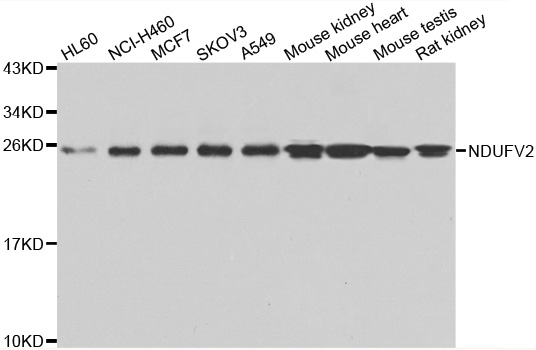
  • A7442: image 1

    Western blot analysis of extracts of various cell lines, using NDUFV2 antibody.

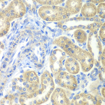
  • A7442: image 2

    Immunohistochemistry of paraffin-embedded rat kidney using NDUFV2 antibody at dilution of 1:100 (x400 lens).

Background

The NADH-ubiquinone oxidoreductase complex (complex I) of the mitochondrial respiratory chain catalyzes the transfer of electrons from NADH to ubiquinone, and consists of at least 43 subunits. The complex is located in the inner mitochondrial membrane. This gene encodes the 24 kDa subunit of complex I, and is involved in electron transfer. Mutations in this gene are implicated in Parkinson's disease, bipolar disorder, schizophrenia, and have been found in one case of early onset hypertrophic cardiomyopathy and encephalopathy. A non-transcribed pseudogene of this locus is found on chromosome 19.

Protocol

N/A

MSDS
Reviews
Kendall Scientific welcomes feedback from its customers.

If you have used an our product and would like to share how it has performed, please click on the "Submit Review" button and provide the requested information.

If you have any additional inquiries please email technical services at info@kendallscientific.com.

Thank you for your support.

promotions

Image

Custom Monoclonal Antibody
MassAb Technologies
Image
Free Trial Custom Polyclonal Antibody
You will receive free purified antibodies for validation
Image
Custom Peptides Synthesis

Start from $40/each

new technologies

Image
Optimized for enhanced
expression levels
XPromoter 2.0
Image
E.coli/insect cells/293 & CHO

3 in 1 expression system
Image
MassAb Technologies

Cover All Epitopes