ELMO3-Polyclonal Antibodies

our services
our products
Quotations & Ordering:

For quotations, please use our online quotation form, and you may also contact us by

service@kendallscientific.com

Phone:

+1-888.733.6849 (Toll-free)
+1-617.299.7367 (Int’l))

Fax:

+1-888.733.6849

Our customer service representatives are available 24 hours, Monday through Friday to assist you.

ELMO3

Qty


Total
$220
Catalog #
A7182
Antibody Type
Polyclonal Antibody
Gene ID
79767
Swiss Prot
Q96BJ8
Size
Species
Rabbit
Isotype
IgG
Purity
Affinity purification
Additional Information
ReactivityHuman Mouse Rat
Tested applicationsWB IHC
Recommended DilutionWB 1:500 - 1:2000 IHC 1:50 - 1:200
Calculated MW81kDa
Observed MWRefer to figures
ImmunogenRecombinant protein of human ELMO3
Storage BufferStore at -20℃. Avoid freeze / thaw cycles. Buffer: PBS with 0.02% sodium azide, 50% glycerol, pH7.3.
SynonymCED12; CED-12; ELMO-3;
Images
  • A7182: image 1

    Western blot analysis of extracts of various cell lines, using ELMO3 antibody.

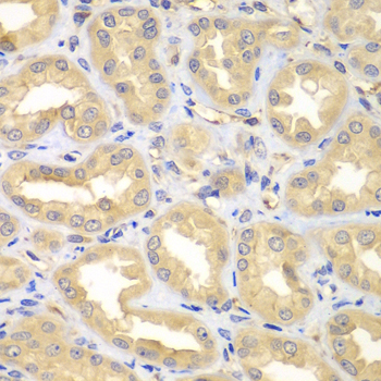
  • A7182: image 2

    Immunohistochemistry of paraffin-embedded human kidney using ELMO3 antibody at dilution of 1:100 (x400 lens).

Background

The protein encoded by this gene is similar to a C. elegans protein that functions in phagocytosis of apoptotic cells and in cell migration. Other members of this small family of engulfment and cell motility (ELMO) proteins have been shown to interact with the dedicator of cyto-kinesis 1 protein to promote phagocytosis and effect cell shape changes.

Protocol

N/A

MSDS
Reviews
Kendall Scientific welcomes feedback from its customers.

If you have used an our product and would like to share how it has performed, please click on the "Submit Review" button and provide the requested information.

If you have any additional inquiries please email technical services at info@kendallscientific.com.

Thank you for your support.

promotions

Image

Custom Monoclonal Antibody
MassAb Technologies
Image
Free Trial Custom Polyclonal Antibody
You will receive free purified antibodies for validation
Image
Custom Peptides Synthesis

Start from $40/each

new technologies

Image
Optimized for enhanced
expression levels
XPromoter 2.0
Image
E.coli/insect cells/293 & CHO

3 in 1 expression system
Image
MassAb Technologies

Cover All Epitopes