For quotations, please use our online quotation form, and you may also contact us by
service@kendallscientific.com
+1-888.733.6849 (Toll-free)
+1-617.299.7367 (Int’l))
+1-888.733.6849
Our customer service representatives are available 24 hours, Monday through Friday to assist you.| Reactivity | Human Mouse Rat |
| Tested applications | WB IHC |
| Recommended Dilution | WB 1:500 - 1:2000 IHC 1:50 - 1:100 |
| Calculated MW | 187kDa |
| Observed MW | Refer to figures |
| Immunogen | Recombinant protein of human C3 |
| Storage Buffer | Store at -20℃. Avoid freeze / thaw cycles. Buffer: PBS with 0.02% sodium azide, 50% glycerol, pH7.3. |
| Synonym | ASP; C3a; C3b; AHUS5; ARMD9; CPAMD1; HEL-S-62p; |

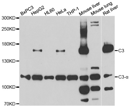
Western blot analysis of extracts of various cell lines, using C3 antibody.

Immunohistochemistry of paraffin-embedded rat liver using C3 antibody at dilution of 1:200 (40x lens).

Immunohistochemistry of paraffin-embedded rat kidney using C3 antibody at dilution of 1:200 (40x lens).

Immunohistochemistry of paraffin-embedded human prostate using C3 antibody at dilution of 1:100 (40x lens).
Complement component C3 plays a central role in the activation of complement system. Its activation is required for both classical and alternative complement activation pathways. People with C3 deficiency are susceptible to bacterial infection.
N/A