For quotations, please use our online quotation form, and you may also contact us by
service@kendallscientific.com
+1-888.733.6849 (Toll-free)
+1-617.299.7367 (Int’l))
+1-888.733.6849
Our customer service representatives are available 24 hours, Monday through Friday to assist you.| Reactivity | Human Mouse Rat |
| Tested applications | WB IHC IF |
| Recommended Dilution | WB 1:500 - 1:2000 IHC 1:50 - 1:200 IF 1:50 - 1:100 |
| Calculated MW | 101kDa |
| Observed MW | Refer to figures |
| Immunogen | Recombinant protein of human BCAS3 |
| Storage Buffer | Store at -20℃. Avoid freeze / thaw cycles. Buffer: PBS with 0.02% sodium azide, 50% glycerol, pH7.3. |
| Synonym | MAAB; GAOB1; |

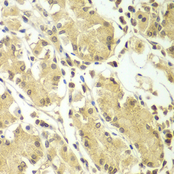
Immunohistochemistry of paraffin-embedded human kidney cancer using BCAS3 antibody at dilution of 1:100 (x400 lens).

Immunohistochemistry of paraffin-embedded human gastric using BCAS3 antibody at dilution of 1:100 (x400 lens).

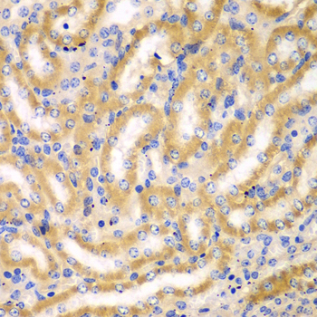
Immunohistochemistry of paraffin-embedded mouse kidney using BCAS3 antibody at dilution of 1:100 (x400 lens).

Immunofluorescence analysis of MCF7 cell using BCAS3 antibody. Blue: DAPI for nuclear staining.
N/A